Alzheimer Disease Picture

Alzheimer’s Disease: Causes, Picture, Symptoms and Treatment

Alzheimer’s disease is a progressive disorder leading to memory degeneration. The condition causes the brain cells to waste away. It ultimately results in the death of brain cells. As a result, the affected person can suffer from memory problems, issues with social and behavioral thinking leading to disruption of the affected individual to function independently. Therefore, the condition is the most common cause of dementia. Early signs of memory degeneration include forgetting conversation or a recent event. As the condition progresses, it results in severe memory impairment. So, the affected person cannot carry out regular tasks and activities.

You have no cure available for the condition. So, the treatment focuses on improving the symptoms. It also helps in slowing down the rate of decline. With medical intervention, affected people can maximize their function. So, they can maintain their independence for some time. Different programs support people with the disease. Such progressive disease can cause severe complications and ultimately result in death. With treatment, you can only increase the quality of life of the affected person for a short period.

Symptoms Of Alzheimer’s disease

Memory loss is the early signs of the condition. So, a person affected by the problem can find it difficult to remember conversations or a recent event. As the condition progresses, the affected individual can suffer from other symptoms along with severe memory impairments. Family members or friends notice the affected person’s difficulty to remember and organize things first. Thus, the brain changes occurring due to the cell damage can lead to other changes like:

Memory Lapses

You may experience memory lapses at times. But, it is not a serious problem. Occasionally you may forget where you have kept your keys or names of any acquaintance. No need to panic as it is not a sign of Alzheimer’s. People suffering from memory degeneration can suffer from persistent memory loss. Memory loss worsens with time. So, it starts to affect the normal function at home or work. If you suspect your loved ones suffer from the problem, then look for the following symptoms:

  • Repeating questions or statements again and again
  • Forget appointments, conversations or events completely
  • Misplace possessions by putting them illogical locations routinely
  • Get lost in familiar locations
  • Have difficulty in expressing thoughts
  • Trouble finding the right words to identify objects
  • Issues with taking part in conversations

Thinking And Reasoning

People suffering from Alzheimer’s can experience difficulty in thinking and concentrate. It is especially true while dealing with abstract concepts like numbers. The disease can also make multitasking difficult. So, affected individuals cannot manage their finances, pay bills on time, or balance their checkbooks. The conditions worsen and result in the inability to recognize or deal with numbers.

Making Judgments And Decisions

You need sharp decision-making and judgment skills for dealing with everyday situations. With memory degeneration, the ability declines. So, the affected person can make strange choices while interacting socially. They can make or poor choices while wearing clothes (inappropriate for the weather). People suffering from the disease can fail to respond properly to everyday problems like unexpected driving situations or food burning.

Planning And Executing Routine Tasks

Some routine activities have sequential steps. Playing a game or cooking requires planning and execution. People affected by Alzheimer’s can struggle with such activities as the disease progresses. Therefore, people in advanced stages of the disease completely forget how to perform simple basic tasks like bathing and dressing.

Behavior And Personality Changes

The brain changes occurring due to Alzheimer’s disease affect the mood and behavior of the person. So, the problems include:

  • Apathy
  • Depression
  • Mood swings
  • Social withdrawal
  • Loss of inhibition
  • Distrust in others
  • Irritability
  • Wandering
  • Aggressiveness
  • Change in sleep patterns
  • Delusion

When you see the symptoms, especially memory loss you can go into panic mode. But, certain treatable conditions can result in dementia-like symptoms. But, it is important to get evaluated by a medical professional to detect the actual cause of the problem. If you or your loved ones experience problems with other skills along with memory loss, then get an appointment with the doctor.

Causes Of Alzheimer’s disease

The exact reason for memory degeneration remains unclear. But, scientists believe a combination of genetic, lifestyle, and environmental factors can trigger the problem. These factors can affect the brain over time and result in developing Alzheimer’s disease. In rare cases, gene changes can cause the development of the disease. Such issues start affecting a person in their middle age.

Usually, the damage to the brain starts in the region controlling memory. The problem starts years before you can see the first symptoms. The damage can cause loss of neurons, which spreads in the predictable pattern to other parts of the brain. So, at the last stage of the disease, the affected person’s brain reduces in size significantly. According to the researchers, two proteins can lead to the problem:

Plaques

Amyloid plaques form when the fragments of beta-amyloid and other cellular debris clusters together. Larger protein can leave a fragment known as beta-amyloid. The amyloid plaques have a toxic effect on the neurons of the brain. It disrupts the cell-to-cell communication.

Tangles

 

When tau proteins change their shape and organize into structures known as neurofibrillary tangles, it can disrupt the neuron’s transport system and internal support. Tau proteins are essential for your brain as it helps in carrying nutrients and essential materials. So, the change in its shape can affect your brain function.

Risk Factors Associated With Alzheimer’s disease

Some people are more at risk of developing memory degeneration in the future. The factors influencing the development of the condition are:

Age

Age is a known risk factor of the condition. Increasing age may not always result in memory degeneration. But, it increases the likelihood of developing the problem.

Genetics

Family history and genetics play a significant role in developing Alzheimer’s disease. So, if you have a first degree relative (for example parent or sibling), then you suffer higher risk. The genetic mechanism associated with memory degeneration diseases is complex and difficult to decode. But, a form of APOE (apolipoprotein E gene) is the most understood genetic factor causing the problem. APOE e4, a variation of the gene increases your risk of memory degeneration disease. But, you must also understand that not everyone with the gene variation develops the disease.

A variation of the gene, APOE e4, increases the risk of Alzheimer’s disease, but not everyone with this variation of the gene develops the disease. Rare changes or mutation in three genes can cause a person to develop the problem. Scientists have established the mutation leads to developing the condition in less than one percent of the individuals with the condition.

Down syndrome

People suffering from Down syndrome can develop memory degeneration conditions. It is due to having three copies of chromosome 21. Three copies of the gene can result in beta-amyloid creation. Therefore, people with Down syndrome tend to develop issues ten to twenty years earlier than the ordinary population.

Sex

The sex of a person may not have any significance in suffering from memory degeneration problems. But, data suggests women have more risk of the disease compared to men. It is because they live longer than men.

Mild Cognitive Impairment

MCI is the decline in skills or memory you require according to your age. But, the decline may not affect your social functioning or work environment. Such people have an increased probability of developing problems like dementia. When you suspect MCI, you need proper diagnosis and lifestyle changes. Healthy changes and strategies can aid in compensating memory loss. You must also book appointments with doctors to monitor the changes closely.

Past Head Trauma

Some people suffer from head trauma in an accident or fall. Therefore, people who have endured such issues can face the risk of diseases like Alzheimer’s.

Poor Sleep Patterns

People who suffer from insufficient sleep, difficulty falling asleep or other problems can face the risk of memory degeneration. So, those who suffer from poor sleep patterns need to maintain caution.

Heart Health

People suffering from heart problems face more risk of problems like Alzheimer’s. So, people who experience the following factors need to maintain caution and make some changes in their lifestyle:

  • Lead a sedentary lifestyle with no exercise
  • Obesity
  • Exposure to secondhand smoke or smoking
  • High cholesterol levels
  • High blood pressure

Diabetes

People who fail to control their type 2 diabetes can experience memory degeneration. Therefore, the following factors put you at risk of the problem:

  • High levels of blood sugar
  • Lack of exercise
  • High-fat diet

Lifelong Learning And Social Engagement

The activities stimulating your brain can reduce the risk of memory degeneration. So, people with decreased education levels and social engagement can enhance the risk of the disease.

Complications Due To Alzheimer’s disease

As memory degeneration progresses, the patient can experience several changes in their life. The main problems occurring are:

  • Impaired judgment
  • Language loss
  • Memory loss
  • Other cognitive changes

Memory degeneration can complicate treatment for other health issues. Therefore, a person with Alzheimer’s experience the following:

As memory degeneration progresses, the brain starts to change. It can affect the physical functions and cause problems like balance, swallowing, bowel/bladder control issues. So, the disease increases the vulnerability to additional health issues like:

  • Frequent falls
  • Pneumonia
  • Inhaling liquid or food into the lungs (aspiration)
  • Other infections
  • Fractures
  • Malnutrition
  • Bedsores
  • Dehydration

Tests To Diagnose Alzheimer’s disease

When you observe symptoms indicating some memory problems in your loved ones, make an appointment to evaluate the condition. The doctor can include the following tests for proper diagnosis:

Physical And Neurological Exam

The medical professional performs a thorough physical evaluation. The doctor also assesses the neurological health of the patient using the following tests:

  • Muscle tone and strength
  • Reflexes
  • Coordination
  • Ability to raise from sitting position and walk across the room
  • Balance
  • Sense of sight and hearing

Lab Tests

Some health conditions like vitamin deficiencies and thyroid problems can cause confusion and memory loss. So, the doctor suggests for blood tests to rule out such health problems.

Mental Status And Neuropsychological Testing

The doctor also performs the following tests to detect the possibility of memory degeneration. Therefore, the doctor can suggest the following:

  • Mental status test
  • Test to assess memory
  • Thinking skills

To get additional information about your mental function, your doctor performs longer forms of neuropsychological testing. The tests are also useful in establishing a starting point of the disease. So, your doctor can track the progression of different signs in the future.

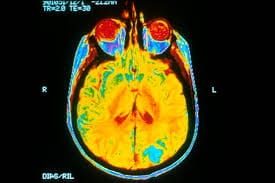
Brain Imaging Tests

For detecting memory degeneration, images of the brain can offer assistance. The images of the brain can specifically pinpoint visible anomalies related to the condition. The images also help detect cognitive changes in the brain.

Imaging Of Brain Structure

The tests that can help detect the abnormalities in your brain structure and the possible issues include the following:

Magnetic Resonance Imaging (MRI)

A strong magnetic field and radio waves can produce detailed images to detect any problems. The sophisticated images may not provide information on the status of memory degeneration. But, it can rule out other conditions causing similar symptoms.

Computerized Tomography (CT) Scan

CT scan produces cross-sectional images of your brain. Therefore, specialized x-ray testing is used to rule out other brain problems like head injuries, strokes, or tumors, triggering the symptoms.

Images Of Disease Processes

When people suffer from memory degeneration, several changes can occur in your brain. The developments are easy to track with PET (Positron Emission Tomography). During the scan, a radioactive tracer (low-level) is injected into the patient. It helps reveal a specific feature in the brain and make a proper diagnosis. The PET images include the following:

Fluorodeoxyglucose (FDG) PET Scans

The images obtained by the specific scans show areas of the brain with poorly metabolized nutrients. Identifying the areas of low metabolism can show patterns of degeneration. It also helps memory degeneration and other types of issues like dementia.

Patients who have abnormal or early onset of dementia signs need to undergo the test. It detects the burden due to amyloid deposits in the brain.

Tau Pet Imaging

The imaging test measures the encumbrance of neurofibrillary tangles in the affected patient’s brain. It is usually used in research.

Other Tests

In some circumstances, the doctors can suggest measuring tau in cerebrospinal fluid or abnormal beta-amyloid to detect the early onset of dementia or rapidly progressing dementia.

Future Diagnostic Tests

Researchers are trying to find the test, which aids in measuring the evidence of memory degeneration. The tests can enhance the accuracy of diagnoses of problems like dementia or Alzheimer’s. So, it provides information to the doctors for early diagnosis of the problem.

Treatment For Alzheimer’s disease

Currently, no treatment is available to completely cure memory degeneration. The damage to the memory cells is irreversible. So, the treatment focuses on easing the symptoms associated with the condition.

Drugs To Treat Alzheimer’s disease

The medications available for the condition can only manage memory symptoms and cognitive changes for a small period. The drugs used to treat cognitive conditions are:

Cholinesterase Inhibitors

The drugs boost the cell-to-cell communication levels. It is done by preserving a chemical messenger, which gets depleted due to memory degeneration conditions. You can expect small improvements using drugs. Cholinesterase inhibitors also help in managing neuropsychiatric symptoms. Therefore, it manages depression or agitation.

Memantine (Namenda)

It slows the symptoms of memory degeneration by working in another brain cell communication. It is ideal for people suffering from moderate to severe cases of the problem. In some cases, the doctor uses memantine in combination with cholinesterase inhibitors to get more success.

Sometimes other medications such as antidepressants may be prescribed to help control the behavioral symptoms associated with Alzheimer’s disease.

Create A Safe And Supporting Environment

A patient suffering memory degeneration needs to adapt to the current living situation. It is a significant part of the treatment plan. So, if your loved ones suffer from the memory degeneration condition, you need to establish and strengthen the routine habits. You must also need to minimize memory-demanding tasks that can make the patient uncomfortable. You can take the following steps to enhance the patient’s ability to function and support their sense of well-being:

  • Keep valuables, mobile phones, wallets, and keys at the same place in the home to avoid them getting lost.
  • Make a checklist of medication and track the dosage of medications. Also, keep them in a secure location.
  • Make arrangements for automatic payments as well as deposits.
  • The patient must carry a mobile phone with them with a tracking facility app. The program can track the location of the patient with memory loss with ease.
  • Program all the necessary numbers on the mobile phone for the patient to make it easier to contact.
  • Make a list of daily schedules on a whiteboard and check off completed items. You need to make a habit of it.
  • Remove clutter, excess furniture, and rugs from the home for ease of movement.
  • Install handrails on stairs and bathrooms for safety.
  • Provide patients with shoes and slippers that make them comfortable and offer good traction.
  • People suffering from Alzheimer’s find mirror images confusion or scary. So, reduce the number of mirrors in your home.
  • The patients must carry identification or wear a medical alert bracelet to avoid them getting lost.
  • You need to keep photographs and meaning objects around the house to make them feel safe.
  • Try to make regular appointments on the same day and at the same time.

Preventing Alzheimer’s disease

You cannot prevent Alzheimer’s disease. But, it is possible to reduce the risk. Several lifestyle changes can lower your chances of developing the condition. You need to make some changes in the daily diet and exercise habits to reduce heart complications. The heart-healthy lifestyle also reduces the risk of brain degeneration. Therefore, follow the steps suggested below:

  • Include physical exercise in your routine.
  • Eat a healthy diet rich in fruits and vegetables. You need to include foods low in saturated fat and healthy oils.
  • If your diabetes, high blood pressure or cholesterol, then take steps to manage the conditions.
  • Quit smoking as it is harmful to heart health. If you cannot quit it by yourself, seek professional assistance.
  • Preserve your thinking skills by participating in social events, play board games, dance, read, play an instrument, or involve in activities providing mental and social engagement.

Therefore, following the above-mentioned steps can reduce your risk of memory degeneration problems.

Conclusion

Alzheimer’s disease is an incurable condition. So, it can progress and get worse over time. Ultimately, the condition can become fatal. With treatments, you can slow the progression of the disease and ease certain symptoms. The effect of the disease varies from one person to another. Some people stay alive for decades after the diagnosis. With early detection and intervention, you can improve the quality of life. It is essential to take strategic steps to reduce the inconvenience triggered by the condition.

View Article Sources

Leave a Comment

Your email address will not be published. Required fields are marked *

*